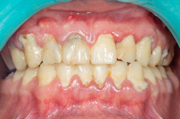
Help Dr., I’m Losing Teeth!
Every Tooth In A Man’s Head Is More Valuable Than A Diamond. ~Miguel de Cervantes, Don Quixote, 1605 Every week in my periodontal practice I see patients who are desperately trying to save their teeth. It’s like a light bulb has gone off in their head and NOW they see the light! It’s my mission…

